Chỉnh hình Răng mặt Hiện đại – Đơn giản – Thiết thực

(Contemporary – Simple – Practical)

Chỉnh hình Răng mặt
Hiện đại – Đơn giản – Thiết thực

(Contemporary – Simple – Practical)

Khóa học này phù hợp với nhiều đối tượng, đặc biệt là những ai đang gặp khó khăn trong việc điều trị chỉnh nha, các bác sĩ chưa có nhiều kinh nghiệm, mong muốn nâng cao kỹ năng và có khả năng điều trị/cung cấp giải pháp cho các ca phức tạp. Ngoài ra, khóa học cũng hướng đến những bác sĩ tổng quát muốn tiếp cận với điều trị chỉnh nha mắc cài và khay trong suốt một cách nhanh chóng và đơn giản nhất.

Ưu đãi đặc biệt dành cho sinh viên và bác sĩ mới ra trường, Chỉnh nha đang trở nên phổ biến và các bác sĩ cần chuẩn bị, cập nhật kiến thức và kinh nghiệm để đón đầu xu hướng mới. “Not to … drop back.”

Nội Dung Khóa Học

 

1. Chỉnh nha cơ bản

  • Khám, chẩn đoán và giao tiếp với bệnh nhân.
  • Lên kế hoạch điều trị cho các loại sai khớp cắn theo 3 chiều không gian giúp chẩn đoán chính xác và giải quyết nguyên nhân.
  • Ứng dụng trong nhiều trường hợp lâm sàng khác nhau.

2. Chỉnh nha cho những trường hợp phức tạp

Các vấn đề như cắn hở, di chuyển răng cối lớn hàm dưới, chỉnh nha trong độ tuổi tăng trưởng, cắn sâu, cắn kéo, cắn chéo vùng răng sau, và lệch hàm.

3. Chỉnh nha tiền phục hình

Ứng dụng minivis trong chỉnh nha, lún-trồi răng chủ động, cùng những lưu ý quan trọng và nguyên tắc trong điều trị chỉnh nha để đảm bảo kết thúc ca đúng hẹn và duy trì kết quả lâu dài.

4. Khay trong suốt trong điều trị chỉnh nha cơ bản:

  • Một số loại khay phổ biến trên thị trường, phân tích ưu và nhược điểm của chúng.
  • Cách chọn gói điều trị đúng nhằm tăng tỷ lệ chấp nhận điều trị và vẫn đảm bảo an toàn.
  • Nguyên lý hoạt động của khay trong suốt: force driven concept và shape driven concept.

5. Khay trong suốt cho điều trị chỉnh nha phức tạp:

  • Chỉnh hạng III, trường hợp có phục hình sứ, fused teeth, và cleft-lip.
  • Chỉnh các ca có vấn đề về nha chu và những ca nằm ngoài giới hạn của mắc cài.
  • Các trường hợp chỉnh nha tăng trưởng.

6. Khay trong suốt xử lý off-track và hơn thế nữa (hybrid):

Nhận biết, xử trí, và theo dõi sau khi điều trị.

Mục tiêu khóa học

  • Giúp học viên tiến vào thực tế lâm sàng, có khả năng giải quyết hơn 70% các ca lâm sàng một cách tự nhiên, nhanh chóng và hiệu quả.
  • Nâng cao chuyên môn qua việc tiếp thu chia sẻ từ báo cáo viên.
  • Nhận biết trình độ bản thân và lập lộ trình phù hợp để nâng cao khả năng chuyên môn.

Khóa học cũng nhằm giúp học viên tiếp cận công nghệ mới – khay trong suốt, đã được công nhận và ứng dụng điều trị tại Việt Nam cũng như toàn cầu trong suốt 25 năm qua.

Thời gian khóa học: 2 modules: Chỉnh nha mắc cài và dây cung – Chỉnh nha khay trong suốt. Mỗi module 2 đợt , mỗi đợt kéo dài 3 ngày.

(Tổng 2 module là 12 ngày)

Module 1 – Chỉnh nha mắc cài

– Đợt 1: ngày 22-24/10

– Đợt 2: Ngày 26-28/11

Module 2 – Chỉnh khay trong suốt

– Đợt 1: ngày 24-26/12

– Đợt 2: Ngày 21-23/01/2026

Địa điểm tổ chức: Khách sạn IBIS

 

🔥 Đặc Quyền Chỉ Dành Cho Học Viên tham gia khóa học 🔥

 

Tham gia ngay hôm nay để nhận TẶNG KÈM 1 buổi học đột phá cùng TS. Nguyễn Gia Hy – chuyên gia giàu kinh nghiệm, chia sẻ bí quyết thực chiến mà bạn khó có thể tìm thấy ở bất kỳ đâu.

👉 Đây chính là cơ hội vàng để bạn nâng cấp kiến thức – bứt phá kỹ năng – tạo lợi thế vượt trội trong sự nghiệp. Đừng bỏ lỡ, số lượng ưu đãi có hạn!

Báo cáo viên

TS. Nguyễn Gia Hy

  • Giảng viên, Đại học Swinburne (Úc)
  • Giảng viên doanh nhân, Đại học Kinh tế, ĐHQGHN
  • CEO & Cofounder SkillPixel
  • CEO & Cofounder AIFicient

Nội dung khóa học

AI trong quản lý phòng khám và chăm sóc khách hàng:

  • Chatbot chăm sóc khách hàng
  • Chatbot hỗ trợ chuyên môn nội bộ (tóm tắt tài liệu, hỗ trợ chuẩn đoán, trợ lý học thuật, …)
  • Chatbot hỗ trợ marketing phòng khám (tạo nội dung, viết bài, cá nhân hóa trải nghiệm, …)
 

Báo cáo viên

 

Bs. Hồng Thạnh An

  • Thành viên hiệp hội chỉnh nha Hoa Kỳ (AAO), Liên đoàn chỉnh nha thế giới (WFO), Hiệp hội chỉnh nha TP. HCM (HAO).
  • Đạt giải Ca lâm sàng ấn tượng châu Á – Thái Bình Dương về chỉnh nha khay trong suốt.
  • Invisalign Platinum Provider với kinh nghiệm điều trị hơn 1000 ca mắc cài, dây cung và 200 ca niềng khay trong suốt.

ĐĂNG KÝ NGAY





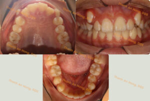
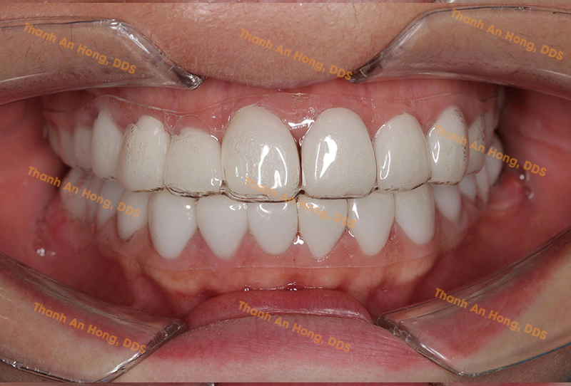
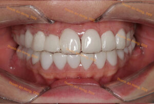
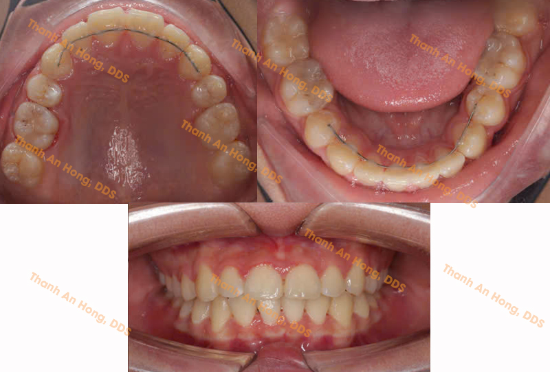
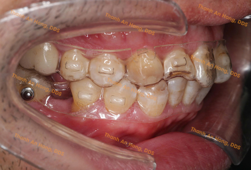
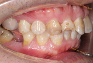
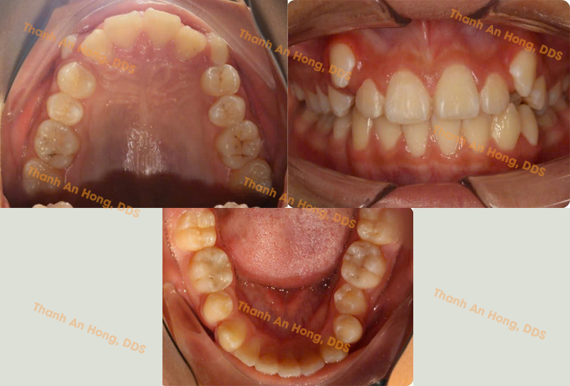
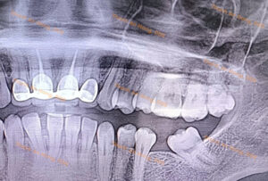
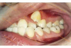
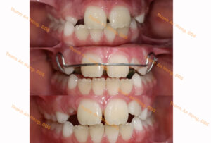
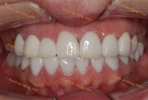
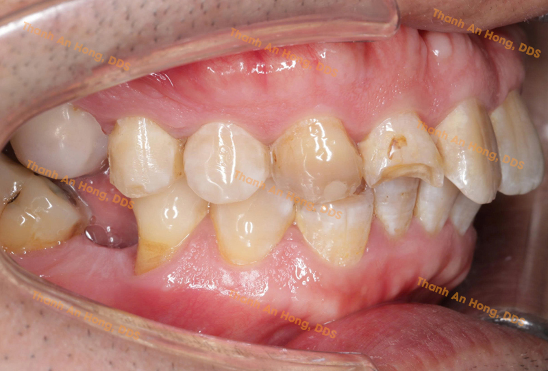
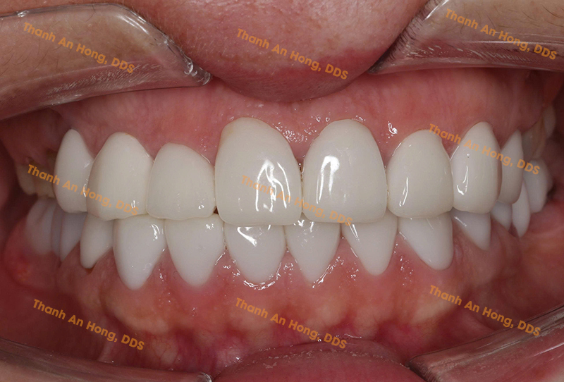
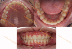
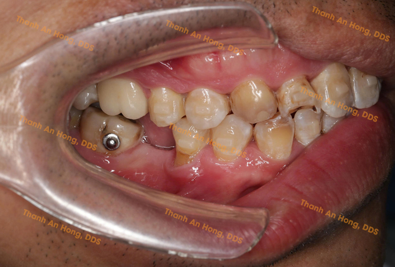
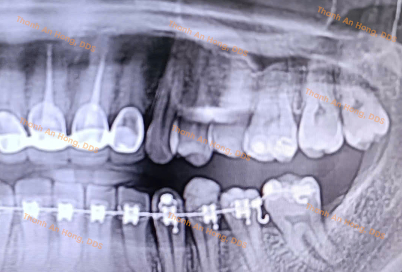
    HÌNH ẢNH THỰC TẾ

    Khay trong suốt chỉnh lệch đường giữa với toàn hàm là răng sứ

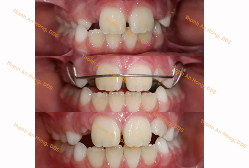
    Chỉnh cắn ngược

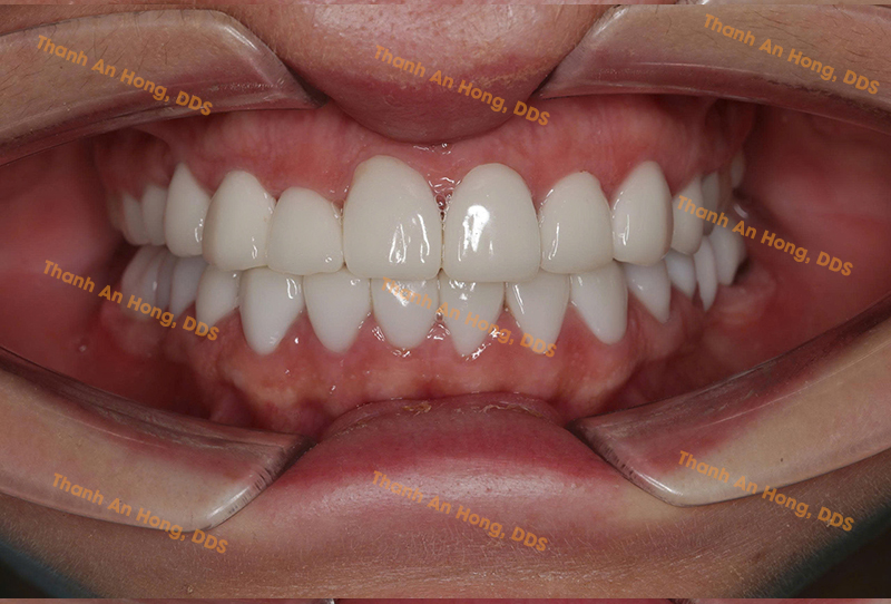
    Chỉnh khay giảm hô

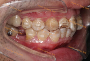
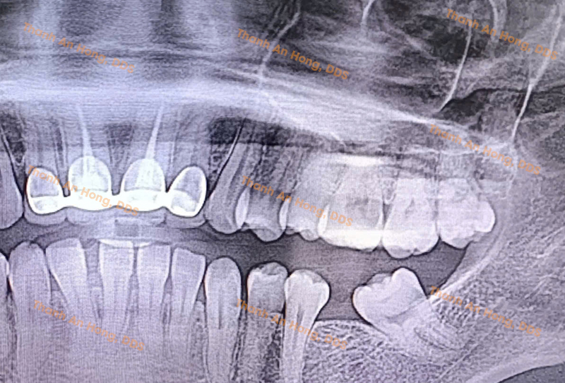
    Chỉnh khay dựng trục răng cối lớn hàm dưới

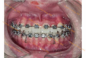
    Chỉnh mắc cài giảm hô

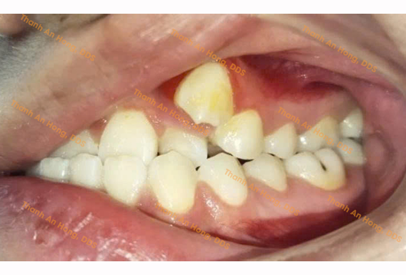
    Dì Gân Răng Cối Lớn Hàm Dưới

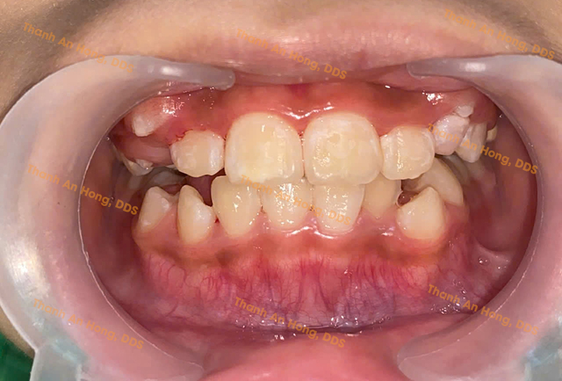
    Sắp đều răng trong độ tuổi tăng trưởng với mắc cài

    Khay Chỉnh Hô Lùi Hàm – Không Nhổ Răng

    Chỉnh lệch mặt trong độ tuổi tăng trưởng bằng khí cụ

    Chỉnh móm với niềng khay trong suốt

    Chỉnh móm/cắn ngược với mắc cài